ƯU ĐÃI ĐẾN 70% KHI
ĐĂNG KÍ ONLINE
THÔNG TIN CỦA QUÝ KHÁCH
HOÀN TOÀN BẢO MẬT
Trám cổ chân răng là kỹ thuật nha khoa sử dụng vật liệu trám răng để bổ sung vào vị trí cổ chân răng, giúp tái tạo lại phần cổ chân răng bị khuyết thiếu hoặc tổn thương, chấm dứt tình trạng đau nhức, ê buốt và bảo vệ răng khỏe mạnh.

Giải pháp giúp phục hình và bảo vệ răng hiệu quả
Phương pháp trám cổ chân răng thường được áp dụng cho các trường hợp như:
Có rất nhiều nguyên nhân gây ra tình trạng cổ chân răng bị tổn thương như việc chải răng không đúng cách, dùng lực quá mạnh, ăn uống đồ ăn chua, sử dụng nước có gas làm mòn men răng… Một khi lớp men răng bị mòn sẽ không tự phục hồi được, cổ chân răng bị mòn hở sẽ gây đau buốt khi ăn uống.
Trám cổ chân răng chính là giải pháp hiệu quả giúp tái tạo lại phân men răng bị khuyết thiếu, đồng thời phục hình thẩm mỹ cho răng, cải thiện chức năng ăn nhai và bảo vệ răng chắc khỏe.
Trám cổ chân răng là phương pháp phục hình cho răng khá đơn giản và nhanh chóng, chỉ khoảng 15-20 phút. Quá trình tại Nha khoa Shining Smile sẽ được thực hiện theo các bước sau:
– Bước 1. Thăm khám và kiểm tra
Khách hàng sẽ được thăm khám răng miệng và kiểm tra mức độ tổn thương cổ chân răng. Qua đó, bác sĩ sẽ xác định được tình trạng răng miệng cụ thể và chỉ định phương pháp điều trị phù hợp. Trường hợp nếu cổ chân răng bị mòn hoặc sâu răng vào tới tủy sẽ phải tiến hành điều trị tủy trước khi trám răng.

Khách hàng được thăm khám và kiểm tra răng miệng kỷ lưỡng
– Bước 2. Vệ sinh răng miệng
Để đảm bảo môi trường trám răng an toàn, tăng hiệu quả phục hình, khách hàng sẽ được bác sỹ làm vệ sinh răng miệng, lấy cao răng để loại bỏ mảng bám vi khuẩn, cao răng tích tụ trên răng.
– Bước 3. Tiến hành trám răng
Bác sĩ sẽ sử dụng vật liệu trám răng bổ sung vào vị trí khuyết thiếu ở cổ chân răng. Bác sĩ sẽ bít kín xung quanh cổ chân răng để bảo vệ ngà răng và tủy răng bên trong, đồng thời tạo hình để răng có hình dáng đẹp hoàn thiện như ban đầu.
Vật liệu trám sẽ được làm khô bằng đèn laser hiện đại, giúp vết trám bám cứng chắc vào bề mặt răng. Sau khi trám, khách hàng sẽ không còn bị ê buốt, đau nhức khi ăn nhai và tránh được những kích thích từ bên ngoài ảnh hưởng tới răng.

Bác sĩ thao tác đưa vật liệu trám để trám cổ chân răng
– Bước 4. Hướng dẫn chăm sóc răng miệng
Bác sĩ sẽ kiểm tra và đánh giá lại kết quả thực hiện và hướng dẫn khách hàng cách chăm sóc răng miệng tại nhà để giúp vết trám bền chắc, duy trì lâu dài.
Trám cổ chân răng là giải pháp phục hình và bảo vệ răng đơn giản được rất nhiều người lựa chọn. Kỹ thuật thực hiện đơn giản, nhanh chóng mà chi phí tiết kiệm hơn nhiều so với các phương pháp phục hình khác. xem thêm >> trám răng và lấy tủy giá bao nhiêu
Miếng trám cổ chân răng sẽ giúp bảo vệ mô răng và tủy răng bên trong tránh được những tác nhân từ bên ngoài. Ngay sau khi trám răng, khách hàng sẽ không còn cảm thấy ê buốt như trước, có thể ăn nhai và sinh hoạt lại bình thường. Việc thực hiện nhẹ nhàng, không cần phải mài răng nên không xâm lấn tới răng, không gây đau nhức khó chịu, rất an toàn.

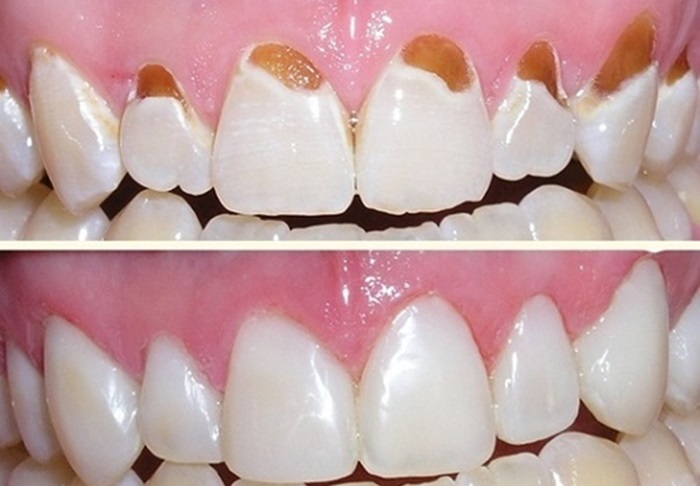
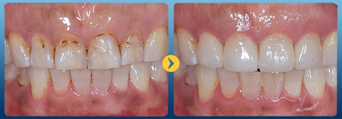
Hình ảnh khách hàng trước và sau khi trám răng tại Nha khoa Shining Smile
Vật liệu trám răng thường được sử dụng là vật liệu trám composite có tính dẻo, đàn hồi tốt, chịu lực cao. Trám răng composite còn có màu sắc trắng tương đồng với màu răng thật, mang lại hiệu quả thẩm mỹ cao sau khi phục hình.
Bên cạnh các ưu điểm, phương pháp trám răng có một nhược điểm là độ bền không được cao do vật liệu trám dễ bị bong bật. Vì thế, thường được áp dụng cho các trường hợp men răng mòn ít, mức độ mòn cổ chân răng không quá sâu. Nếu cổ chân răng bị mòn tạo rãnh chữ V sâu,, mức độ mòn men răng nặng, khách hàng có thể cân nhắc tới phương pháp bọc răng sứ để bảo vệ toàn bộ thân răng cũng như duy trì được kết quả lâu dài hơn.
Chi phí trám cổ chân răng so với các phương pháp phục hình khác thấp hơn 4-5 lần, khá tiết kiệm. Do có nhiều loại vật liệu trám răng khác nhau nên giá trám cổ chân răng bao nhiêu tiền sẽ tùy thuộc vào vật liệu trám mà bạn lựa chọn.
Giá trám cổ chân răng sẽ khoảng từ 300.000-500.000đ. Ngoài ra, chi phí trám sẽ còn tùy thuộc vào mức độ tổn thương ở cổ chân răng, tình trạng răng miệng ở từng người. Nếu trường hợp phải áp dụng thêm các biện pháp điều trị khác như điều trị sâu răng, điều trị tủy răng… khi đó chi phí sẽ có sự chênh lệch thêm.
Với thông tin chi tiết và cập nhật giá mới nhất về dịch vụ hàn cổ chân răng, Shining Smile hy vọng bạn đã có cái nhìn rõ ràng hơn và tự tin lựa chọn cho mình giải pháp phù hợp. Đừng ngần ngại liên hệ với chúng tôi để nhận được sự tư vấn tận tình và chuyên nghiệp nhất từ đội ngũ chuyên gia hàng đầu. Hãy gọi ngay hotline: 039775 8888 hoặc ghé thăm Shining Smile tại Số 47 Khúc Thừa Dụ, Q. Cầu Giấy, TP. Hà Nội để trải nghiệm dịch vụ chăm sóc răng miệng hàng đầu và tận hưởng nụ cười rạng rỡ mỗi ngày.
ƯU ĐÃI ĐẾN 70% KHI
ĐĂNG KÍ ONLINE
THÔNG TIN CỦA QUÝ KHÁCH
HOÀN TOÀN BẢO MẬT