ƯU ĐÃI ĐẾN 70% KHI
ĐĂNG KÍ ONLINE
THÔNG TIN CỦA QUÝ KHÁCH
HOÀN TOÀN BẢO MẬT
Bọc răng sứ là giải pháp phục hình mang đến nhiều lợi ích về mặt thẩm mỹ, lẫn chức năng cho người sử dụng. Tuy nhiên, có không ít trường hợp gặp phải biến chứng sau khi bọc sứ, khiến nhiều người lo lắng. Trong đó, phổ biến nhất tình trạng viêm nướu, sưng đau, xảy ra do 03 nguyên nhân chính sau đây:
Nếu muốn kết quả bọc răng sứ thành công và không ảnh hưởng đến sức khỏe răng miệng, thì quá trình thực hiện phải đảm bảo an toàn.

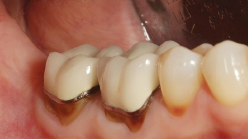
Nướu sưng đỏ, đau nhức do quá trình bọc sứ không đảm bảo
Thế nhưng, không phải nha khoa nào cũng đáp ứng được vấn đề này. Khiến cho khách hàng dễ gặp phải biến chứng bọc răng sứ bị đau nướu. Cụ thể như sau:
Bác sĩ không kiểm tra và điều trị dứt điểm các bệnh lý như sâu răng, viêm nướu… trước khi bọc sứ. Khiến cho ổ vi khuẩn vẫn tồn tại và tiếp tục tấn công gây viêm nhiễm, sưng đau nướu, răng nhiều hơn. Thậm chí dẫn đến viêm tủy hoặc áp xe răng vô cùng nguy hiểm.
Quá trình mài răng sai kỹ thuật dẫn tới mài quá sâu vào lợi, gây phá vỡ khoảng sinh học. Từ đó tạo điều kiện cho vi khuẩn xâm nhập xuống dưới, phá hủy tổ chức quanh răng và gây nên
viêm lợi sau khi bọc răng sứ.
Lúc lắp răng sứ xong không chú ý làm sạch chất gắn kết còn dư, cũng dễ gây viêm chân răng bọc sứ.
Sau khi mài răng thật, bác sĩ sẽ chụp một mão sứ lên trên. Vì vậy, nếu chế tác răng sứ sai kích thước, không khớp với cùi răng sẽ gây nên tình trạng hở, cộm, cong vênh… Làm cho thức ăn rất dễ giắt vào và khó vệ sinh, lâu ngày gây viêm chân răng bọc sứ cùng một số bệnh lý khác.

Chế tác răng sứ sai kích thước, gây hở chân răng và dễ bị viêm nướu
Việc lơ là và vệ sinh răng miệng kém, sẽ khiến cho thức ăn thừa không được làm sạch khỏi khoang miệng. Dần hình thành nên các mảng bám vôi răng chứa đầy vi khuẩn. Chúng sẽ phát triển và tấn công chân răng thật bên trong, gây viêm nướu cấp sau khi gắn răng sứ.
Sau khi bọc sứ, nếu khách hàng nhận thấy những dấu hiệu dưới đây, chứng tỏ nướu, răng đang gặp vấn đề và cần phải tiến hành thăm khám ngay:
Vùng nướu bị sưng lên, tấy đỏ và xuất hiện những cơn đau âm ỉ. Một số trường hợp viêm chân răng bọc sứ nặng hơn sẽ xuất hiện ổ mủ có màu trắng đục.
Nướu dễ chảy máu, đặc biệt là khi đánh răng. Mức độ ngày càng nghiêm trọng hơn theo thời gian.
Tụt nướu, lộ chân răng gây mất thẩm mỹ.
Nướu không còn bám chắc vào răng, khiến răng lung lay.
Miệng có mùi hôi khó chịu.

Tụt nướu, lộ chân răng gây mất thẩm mỹ
Nếu gặp phải tình trạng bọc răng sứ bị viêm lợi thì không được chủ quan. Bởi bệnh sẽ không tự hết được mà có thể tiến triển nặng hơn, dẫn tới nhiều ảnh hưởng xấu cho sức khỏe răng miệng:
Đau nhức nướu, răng gây khó khăn cho hoạt động ăn nhai. Khiến thức ăn chưa được nghiền nhỏ mà đưa thẳng xuống dạ dày. Làm cho dạ dày phải hoạt động nhiều hơn và dễ gây ra các bệnh về đường tiêu hóa.
Tăng nguy cơ phát triển nhiều bệnh lý răng miệng khác như viêm nha chu, tiêu xương ổ răng, nhiễm trùng và mất răng thật là điều không thể tránh khỏi.

Bọc răng sứ bị viêm chân răng bọc sứ làm tăng nguy cơ mất răng vĩnh viễn
Viêm nướu, tụt lợi làm lộ chân răng sứ, gây mất thẩm mỹ khuôn mặt.
Hơi thở ngày càng nặng mùi và cản trở đến việc giao tiếp hàng ngày.
Khi bị viêm nướu răng sứ, kèm theo các cơn đau kéo dài còn ảnh hưởng không tốt tới hệ thần kinh, gây mất ngủ, lo lắng.
Để tránh những biến chứng nguy hiểm kể trên, khách hàng cần phải đến nha khoa càng sớm càng tốt. Để bác sĩ điều trị và khắc phục kịp thời tình trạng bọc sứ bị viêm lợi.
Dựa trên nguyên nhân và mức độ nghiêm trọng của bệnh, bác sĩ sẽ chỉ định các phương án điều trị như sau:
Cạo vôi răng:
Với những khách hàng bị viêm nướu không quá nặng, bác sĩ sẽ tiến hành cạo vôi răng, làm sạch mảng bám và loại bỏ môi trường sống của vi khuẩn. Khi đó tình trạng viêm nhiễm sẽ giảm dần.
Cắt lợi:
Trường hợp viêm nhiễm nặng, gây tiêu xương ổ răng thì bác sĩ phải nạo sạch phần lợi bị viêm. Sau đó cắt đi một phần lợi, để tránh cho răng sứ chụp lên lợi quá nhiều.
Bọc lại răng sứ mới:
Ngoài 2 phương án trên, bác sĩ có thể chỉ định bọc lại sứ mới, nếu nguyên nhân gây sưng, viêm chân răng bọc sứ là do răng sứ chế tác sai kích thước.

Làm lại răng sứ mới để khắc phục triệt để tình trạng sưng viêm
Mão sứ mới đảm bảo đúng tỷ lệ, sát khít với cùi răng và không gây ảnh hưởng đến vùng nướu.
Bên cạnh việc điều trị tại nha khoa, khách hàng cũng phải chú ý chăm sóc răng miệng kỹ lưỡng tại nhà. Hãy đảm bảo đánh răng ít nhất 2 lần/ngày, kết hợp dùng thêm chỉ nha khoa và nước súc miệng để làm sạch khoang miệng tối đa. Đồng thời thăm khám răng định kỳ 2 lần/năm, để bác sĩ cạo vôi răng và kiểm tra tình trạng của răng sứ.
Để tránh tình trạng bọc răng sứ bị đau nướu, cùng những biến chứng khác đối với sức khỏe răng miệng, khách hàng cần lưu ý những điều sau:
Điều quan trọng hàng đầu chính là lựa chọn một địa chỉ nha khoa uy tín và đảm bảo đáp ứng đầy đủ tiêu chuẩn của Sở Y tế. Cách tốt nhất là khách hàng nên đến thăm khám trực tiếp tại nha khoa để xem xét cơ sở vật chất cũng như trao đổi cụ thể với bác sĩ, trước khi quyết định có bọc răng sứ hay không.

Lựa chọn nha khoa uy tín để đảm bảo bọc răng sứ không biến chứng
Đồng thời, bác sĩ thực hiện phải là người có đầy đủ bằng cấp, chứng chỉ hành nghề và nhiều năm kinh nghiệm. Để đảm bảo bác sĩ lên kế hoạch điều trị chính xác và tiến hành bọc sứ nhanh chóng, an toàn.
Ngoài ra, răng sứ được sử dụng phải đảm bảo về nguồn gốc, xuất xứ và đến từ những thương hiệu uy tín. Đặc biệt phải có thẻ bảo hành chính hãng.
Cuối cùng, sau khi hoàn tất quy trình bọc sứ, khách hàng phải tuân thủ theo các hướng dẫn chăm sóc răng miệng từ bác sĩ. Để giữ gìn răng sứ lẫn răng thật một cách tốt nhất, không để xảy ra tình trạng bọc răng sứ bị đau nướu.
Nếu bạn đang gặp tình trạng sưng nướu sau khi bọc răng sứ, việc nhanh chóng tìm kiếm giải pháp phù hợp là rất cần thiết để tránh những biến chứng không mong muốn. Đừng để vấn đề này ảnh hưởng đến chất lượng cuộc sống và sự tự tin của bạn. Tại SHINING SMILE, chúng tôi luôn sẵn sàng cung cấp các phương pháp điều trị hiệu quả và an toàn nhất. Với đội ngũ chuyên gia giàu kinh nghiệm và trang thiết bị hiện đại, chúng tôi cam kết mang lại cho bạn sự chăm sóc tận tâm và chuyên nghiệp. Hãy liên hệ ngay với chúng tôi qua Hotline: 039775 8888 để được tư vấn và hỗ trợ chi tiết. SHINING SMILE - đồng hành cùng nụ cười khỏe mạnh của bạn!
ƯU ĐÃI ĐẾN 70% KHI
ĐĂNG KÍ ONLINE
THÔNG TIN CỦA QUÝ KHÁCH
HOÀN TOÀN BẢO MẬT