ƯU ĐÃI ĐẾN 70% KHI
ĐĂNG KÍ ONLINE
THÔNG TIN CỦA QUÝ KHÁCH
HOÀN TOÀN BẢO MẬT
Bọc răng sứ là kỹ thuật thẩm mỹ hiện đại, với khả năng khắc phục được nhiều khuyết điểm răng miệng khác nhau. Đồng thời thiết kế lại hình dáng và màu sắc răng hài hòa hơn, giúp nụ cười trở nên duyên dáng.
Hầu hết, khách hàng đều hài lòng với kết quả bọc răng sứ, bởi tính thẩm mỹ và chức năng ăn nhai giống như răng thật.
Tuy nhiên, một số trường hợp lại xuất hiện biến chứng tụt lợi sau khi bọc sứ, khiến cho khách hàng lo lắng. Vậy tình trạng này gây ra những tác hại gì đối với sức khỏe răng miệng?
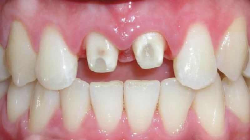
Tụt lợi rất dễ nhận thấy bằng mắt thường, biểu hiện rõ nhất là chân răng bị lộ ra ngoài do lợi co lại hoặc lợi có xu hướng dịch chuyển về phía chóp răng. Kèm theo đó là các triệu chứng sưng đỏ, đau nhức, chảy máu chân răng…

Hiện tượng bọc sứ bị tụt lợi
Biến chứng làm răng sứ bị tụt lợi nếu không được điều trị kịp thời có thể dẫn tới những ảnh hưởng xấu sau đây:
Tụt lợi làm hở chân răng, khiến cho phần mô quanh chân răng mất đi và lộ ra ngà răng. Lúc này, răng sẽ rất nhạy cảm, dễ bị ê buốt, đau nhức khi chải răng hoặc ăn đồ nóng, lạnh.
Khi bị tụt lợi, cùi răng hở ra ngoài và tiếp xúc trực tiếp với môi trường khoang miệng cùng vi khuẩn, nên dễ bị mục răng.
Thức ăn mắc vào kẽ hở giữa chân răng và mão sứ, khó để vệ sinh sạch sẽ. Lâu ngày hình thành nên nhiều mảng bám, đây là môi trường cho vi khuẩn có hại phát triển và tấn công răng. Dẫn tới nhiều bệnh lý như hôi miệng, sâu răng, viêm nướu, viêm nha chu…
Tổn hại nghiêm trọng các mô lợi và cấu trúc xương xung quanh răng. Ảnh hưởng đến khả năng nâng đỡ răng, làm cho răng dễ lung lay, gãy rụng.
Khả năng cắn xé thức ăn bị giảm sút, phải hạn chế nhiều món ăn và mất đi cảm giác ngon miệng.
Bọc răng sứ bị tụt lợi còn ảnh hưởng lớn đến thẩm mỹ khuôn mặt, khiến nụ cười kém duyên hơn.

Tụt lợi khiến cho chân răng suy yếu và dễ lung lay
Để ngăn chặn các biến chứng nguy hiểm trên, thì khi xảy ra tình trạng tụt lợi, hở chân răng, khách hàng cần đến nha khoa điều trị càng sớm càng tốt.
Kỹ thuật bọc sứ có yêu cầu cao về tay nghề bác sĩ và cần sự hỗ trợ của nhiều công nghệ, thiết bị. Bởi nếu quá trình thực hiện không đảm bảo tiêu chuẩn sẽ khiến kết quả không như mong đợi, và còn ảnh hưởng đến sức khỏe răng miệng về sau.
Điển hình là tình trạng bọc răng sứ bị tụt lợi, do xuất phát từ các nguyên nhân:
Bác sĩ tay nghề kém, thực hiện sai kỹ thuật:
Những bác sĩ tay nghề còn non kém, chưa có nhiều kinh nghiệm dễ dẫn tới mài răng sai tỷ lệ và lắp mão sứ không sát khít với cùi răng. Điều này tạo ra khe hở khiến thức ăn dễ mắc kẹt lại và hình thành vôi răng nhiều ở viền lợi, làm cho lợi co lại, lộ ra chân răng cùng ngà răng.
Chế tác răng sứ không đúng kích thước:

Chế tác răng sứ sai kích thước, chênh lệch với cùi răng sẽ gây hở chân răng và tụt nướu
Nếu nha khoa không có công nghệ cùng những máy móc hiện đại, sẽ dẫn tới quá trình lấy dấu và chế tác mão sứ bị sai lệch. Kết quả là mão sứ không tương xứng với cùi răng, không sát khít nướu và dễ gây tụt lợi.
Vật liệu sứ kém chất lượng:
Các loại răng sứ không chính hãng, không rõ nguồn gốc thường có chất lượng kém. Nếu sử dụng để bọc sứ dễ gây nên tình trạng kích ứng, viêm nhiễm. Đồng thời cũng dẫn tới hiện tượng tụt lợi.
Chưa điều trị triệt để bệnh lý răng miệng:
Ở một số nha khoa, bác sĩ chủ quan không kiểm tra kỹ lưỡng hoặc không phát hiện ra bệnh do thiếu kinh nghiệm. Dẫn tới chưa điều trị triệt để các bệnh lý mà tiến hành bọc sứ, tăng nguy cơ mắc viêm lợi, tụt nướu.
Vệ sinh răng miệng sai cách:
Sử dụng bàn chải cứng, chải răng theo chiều ngang hoặc chải với lực mạnh… là những lỗi sai mà nhiều người thường mắc phải khi vệ sinh răng. Đây là một trong các nguyên nhân gây tổn thương lợi, tụt lợi và làm răng sứ bị hở ra.

Chải răng với lực mạnh gây tổn thương và làm tụt nướu răng sứ
Khi xảy ra tình trạng bọc sứ bị tụt lợi, khách hàng hoàn toàn không thể xử lý tại nhà, mà cần đến thăm khám ngay tại các nha khoa uy tín. Để bác sĩ có chuyên môn và kinh nghiệm xử lý.
Dựa trên nguyên nhân gây tụt lợi, bác sĩ sẽ chỉ định giải pháp điều trị phù hợp:
Nếu tụt lợi do bác sĩ thực hiện sai kỹ thuật hoặc chế tác mão sứ không đúng kích thước, thì bác sĩ sẽ tiến hành tháo bỏ mão sứ. Sau đó lấy lại dấu hàm để thiết kế mão sứ mới khớp với cùi răng.
Nếu nguyên nhân gây tụt lợi là do chưa trị dứt điểm các bệnh lý răng miệng, thì bác sĩ sẽ tháo mão sứ ra để điều trị cho khỏi hẳn trước. Sau đó vệ sinh cùi răng rồi mới gắn răng sứ lại.
Nếu lợi bị tụt do sử dụng răng sứ kém chất lượng, thì bắt buộc phải tháo bỏ răng sứ cũ và thay thế bằng loại mới có chất lượng tốt hơn. Điển hình là răng toàn sứ.

Tụt lợi do vật liệu sứ kém chất lượng sẽ phải thay lại mão sứ mới
Bên cạnh những cách điều trị trên, khách hàng cũng nên có chế độ chăm sóc răng miệng kỹ lưỡng tại nhà. Để hạn chế tình trạng tụt lợi xảy ra lần nữa.
Đánh răng 2 lần/ngày bằng bàn chải lông mềm.
Chải răng nhẹ nhàng theo chiều dọc hoặc chuyển động tròn.
Sử dụng thêm chỉ nha khoa và nước súc miệng để làm sạch thức ăn thừa.
Thăm khám răng định kỳ 6 tháng/lần. Để bác sĩ kiểm tra chất lượng răng sứ và điều trị bệnh lý nếu xảy ra.
Bọc răng sứ bị tụt lợi tình trạng không ai mong muốn. Vì vậy, việc chọn lựa một nha khoa uy tín để đảm bảo quá trình bọc sứ diễn ra chuẩn xác và an toàn sức khỏe là rất quan trọng.
Đồng thời, khách hàng cần cảnh giác trước những quảng cáo răng sứ giá rẻ, nhưng không đảm bảo chất lượng dịch vụ. Bởi nếu không may thực hiện, dễ dẫn tới nhiều biến chứng khôn lường đối với sức khỏe răng miệng.
ƯU ĐÃI ĐẾN 70% KHI
ĐĂNG KÍ ONLINE
THÔNG TIN CỦA QUÝ KHÁCH
HOÀN TOÀN BẢO MẬT