ƯU ĐÃI ĐẾN 70% KHI
ĐĂNG KÍ ONLINE
THÔNG TIN CỦA QUÝ KHÁCH
HOÀN TOÀN BẢO MẬT

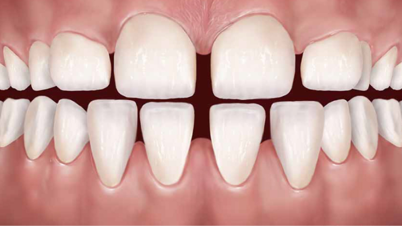
Trường hợp răng cửa bị thưa
Răng thưa là trường hợp không hiếm gặp. Đây là tình trạng các răng mọc không sát khít nhau, để lộ khoảng trống gây mất thẩm mỹ và có nguy cơ cao mắc các bệnh lý về răng miệng. Răng thưa có thể do cơ địa hoặc các thói quen xấu như: Xỉa tăm, mút tay, đẩy lưỡi,…tạo thành.
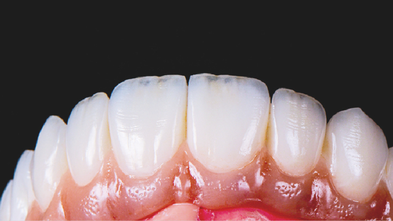
Bọc răng sứ cho răng thưa là một trong những giải pháp được nhiều người lựa chọn bởi thời gian thực hiện nhanh chóng, nhưng mang lại tính thẩm mỹ cao. Bởi khách hàng còn có thể điều chỉnh dáng răng và màu sắc răng sứ theo nhu cầu. Tại những nha khoa uy tín, răng sứ sẽ được chế tác tự nhiên như răng thật. Nên bạn không cần phải lo lắng sẽ bị lộ khi giao tiếp.
Về tuổi thọ, răng sứ có thể sử dụng lên đến 25 năm tùy thuộc vào loại răng, thương hiệu răng sứ và cách chăm sóc răng sứ của từng người. Trong đó, răng sứ toàn sứ sẽ có tuổi thọ cao hơn răng sứ kim loại. Các dòng răng sứ cao cấp như: Cercon HT, Nacera 9, Nacera 9 Max sẽ bền hơn các dòng răng DDbio, Titan,…Trường hợp bọc sứ răng thưa toàn hàm, hầu hết bác sĩ sẽ khuyến khích khách hàng chọn răng toàn sứ để đảm bảo tính thẩm mỹ lẫn khả năng ăn nhai của răng.
Tuy nhiên, bọc sứ chỉ nên áp dụng cho những trường hợp răng thưa nhẹ như bọc răng cửa thưa,.. bởi thực tế đây cũng chưa phải là phương án tối ưu nhất. Vì bác sĩ phải mài răng thật để thực hiện, nên nếu tay nghề bác sĩ kém có thể khiến răng bị tổn thương nặng.
Chính vì thế, bác sĩ luôn khuyến khích chọn giải pháp niềng răng để cải thiện tình trạng răng thưa. Bọc sứ răng thưa chỉ dành cho những ai có răng thưa nhẹ, không có nhiều thời gian chờ đợi hoặc răng không đủ điều kiện để thực hiện niềng răng.

Để biết được chính xác tình trạng răng của mình phù hợp với phương án nào, bạn nên gặp bác sĩ để được kiểm tra, thăm khám và nhận tư vấn trực tiếp.
Bọc răng sứ cho răng thưa bao nhiêu tiền? Giá bọc sứ răng thưa trên thị trường hiện nay dao động trung bình từ 1.000.000VNĐ/răng – 14.000.000 VNĐ/răng (tùy thuộc vào chất liệu răng sứ được sử dụng). Trước khi khách hàng quyết định bọc răng sứ, SHINING SMILE sẽ thăm khám, chụp phim và tư vấn. Và dựa trên tư vấn của bác sĩ, quý khách sẽ chọn loại răng sứ và số lượng răng cần bọc để có thể tính được tổng chi phí cần trả.
Nha khoa SHINING SMILE là lựa chọn hàng đầu mà bạn không thể bỏ qua. Không chỉ đáp ứng đủ các tiêu chí để đánh giá một nha khoa uy tín, SHINING SMILE còn sở hữu thêm nhiều lợi thế cạnh tranh vượt trội:
Nha khoa có đội ngũ bác sĩ đều là những chuyên gia đầu ngành, có hơn 10 năm kinh nghiệm trong lĩnh vực răng sứ thẩm mỹ. SHINING SMILE đã thực hiện thành công hơn 6.000 ca răng sứ thẩm mỹ, cho hàng ngàn khách hàng trong và ngoài nước.
SHINING SMILE sở hữu hệ thống máy móc, trang thiết bị hiện đại như: máy chụp X-quang Panorex, máy chụp CT Cone Beam 3D, công nghệ CAD/CAM 3D… nhằm hỗ trợ quá trình điều trị diễn ra nhanh chóng và hiệu quả.
Vật liệu nha khoa được nhập khẩu từ các nước Châu Âu. Cùng với thẻ bảo hành răng sứ chính hãng, đảm bảo quyền lợi cho mọi khách hàng khi có vấn đề phát sinh.
Các chi phí bọc sứ tại nha khoa đều được niêm yết trên website, tạo tính minh bạch, rõ ràng.
Labo riêng ngay tại nha khoa, giúp chế tác răng sứ chính xác và tiết kiệm tối đa chi phí, thời gian cho khách hàng.

Bọc răng sứ cho răng thưa là phương pháp đòi hỏi bác sĩ thực hiện phải có tay nghề khéo léo, nhiều kinh nghiệm, cùng trang thiết bị, máy móc hỗ trợ phải hiện đại nhất. Do đó, bạn nên chọn những nha khoa làm răng sứ uy tín để đảm bảo sức khỏe của chính bản thân bạn!
ƯU ĐÃI ĐẾN 70% KHI
ĐĂNG KÍ ONLINE
THÔNG TIN CỦA QUÝ KHÁCH
HOÀN TOÀN BẢO MẬT